5/5
Dr. Mitesh Vasant,
BDSc
Dentist
💡Tap anywhere to close
What is C/S Personality Style?
This DiSC personality style combines Steady and Conscientious traits. A dentist with this style provides gentle, methodical care with precise attention to detail. Ideal if you prefer a calm, thorough approach with clear technical expertise.
Perfect for patients who:
- Need extra time and care during treatments
- Want thorough explanations in a calm manner
- Value both gentleness and technical excellence
You’ll appreciate this dentist’s:
- Patient, methodical approach
- Gentle attention to detail
- Calm, precise treatment style
Male Practitioner
14/39 Hercules St, Hamilton QLD 4007
(07) 3268 2116
Accepting New Patients
Featured Review
5.0
”
I recently visited Beyond Dental in Hamilton and I couldn’t be happier with my experience. Dr. Mitesh provided an exceptional clean — by far the best I’ve ever had! He was incredibly thorough… The attention to detail and care he showed were truly impressive. Read all reviews.
Sanjivanee Lalla
November 23, 2024
🏆 Highly Recommended
100% of patients gave Dr. Mitesh 5 stars.
⏱️ Short Wait Times
96% of patients waited less than 30 minutes.
💳 All Health Funds Accepted
nib dental, Suncorp, AIA, Frank (15+) View full list
Book Appointment with Dr. Mitesh Vasant
Schedule your consultation with Dr. Mitesh at our Hamilton clinic. Use our online booking system to select your preferred time, or call us directly at (07) 3268 2116 for assistance.
💡 We confirm appointments via SMS and email. For urgent dental care, please call us for immediate support.
💡 Meet the Practitioner
About Dr. Mitesh Vasant
Dr. Mitesh Vasant is a Hamilton dentist in Brisbane, offering dental implants, porcelain veneers, and clear aligners. He specialises in treating anxious patients, recognising that many adults have negative associations with dentistry due to past experiences. Dr. Mitesh adapts his approach to each individual patient to ensure their comfort. To better empathise with anxious patients, he challenges himself annually by facing his own fears.
✨ Read Dr. Mitesh's full bio
Dr. Mitesh completed his dental studies at The University of Queensland in 2012 and has spent over a decade helping patients regain oral health and self-assurance.
He is trained in restorative and cosmetic dentistry, including digital smile design for veneers and surgical placement for dental implants. Today, Dr. Mitesh has taken on a teaching and mentoring role, conducting weekly training meetings for other dentists. His professional experience includes mentoring peers and delivering presentations at Australian Dental Association (ADA), helping fellow dentists refine their skills.
Dr. Mitesh enjoys performing smile makeovers and seeing patients’ reactions to their new smiles. He appreciates working with a team that shares his enthusiasm for creating positive patient experiences and delivering high-quality dental care. The collaborative environment at Beyond Dental Care allows for sharing of work and mutual encouragement among colleagues.
Outside the clinic, Dr. Mitesh enjoys exploring Hamilton’s dining spots, staying active, and travelling to new destinations with his family.
Languages
English, Gujarati
Education
Bachelor of Dental Science, 2012 (The University of Queensland)
13 years in dentistry
AHPRA number
DEN0001791968
Professional Profiles
Photos & Videos
Dr. Mitesh Vasant, BDSc – 11 years in Implantology, Aesthetic & Restorative Dentistry | Hamilton
Learn about Dr. Mitesh Vasant, a dentist in Hamilton with over a decade of experience in implants, veneers, and complex restorations. His clear communication and modern techniques ensure effective, patient-focused dental care.
Quality Dental Care in Hamilton with Dr. Mitesh Vasant
See why Dr. Mitesh Vasant’s expertise and patient-first approach have made Beyond Dental Care a trusted destination for those seeking exceptional dental care.
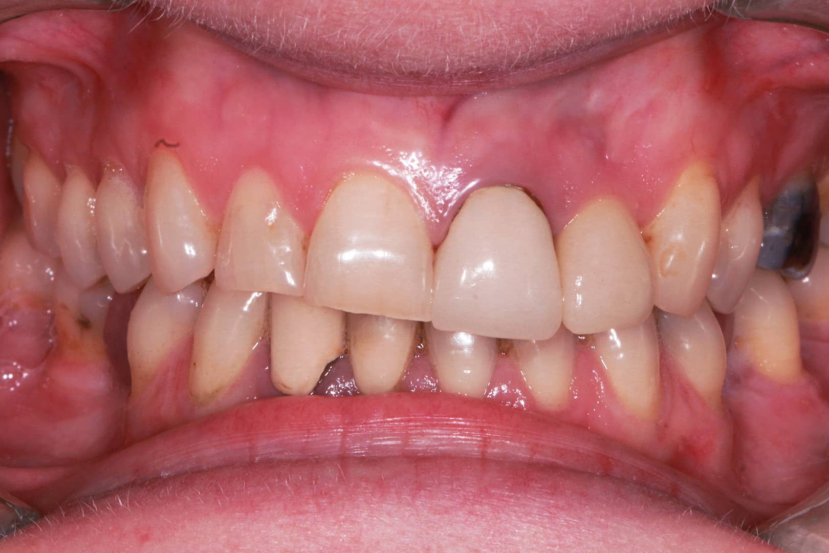
Crowns and Veneers | Before & After
- Patient concern: Damaged and misaligned teeth
- Treatment: Combination of dental crowns and porcelain veneers
- Time frame: Multiple appointments
- Process: Digital smile design, temporary veneers, final fitting
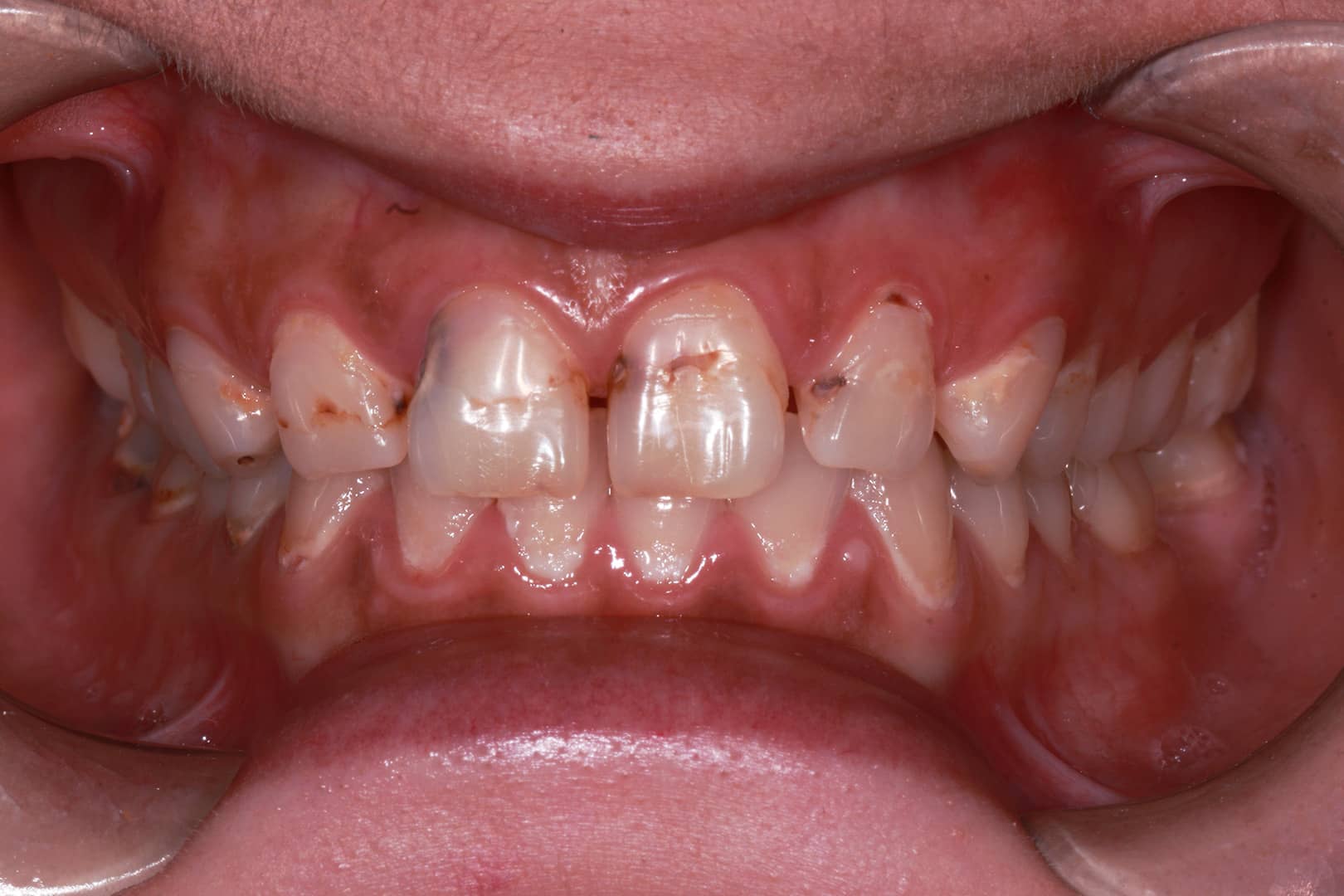
Dental Bonding | Before & After
- Patient Concern: Stained and uneven teeth
- Goal: Improving smile for job interview
- Treatment: Composite dental bonding
- Time frame: Single appointment
Care Style & Approach
Dr. Mitesh has a C/S style of care, which means he combines detailed precision with a gentle, steady approach. This is especially helpful for anxious patients who need extra care and attention.
What to Expect at Your Visit
- Thorough explanations at a pace that suits your comfort level
- Extra time and care if you’re nervous about dental treatment
- Detailed treatment plans with step-by-step guidance
- A calm, methodical approach to procedures like implants and veneers
✨ Show More
How This Helps Your Dental Care
When you visit Dr. Mitesh, you’ll find he:
- Takes time to understand your dental anxieties and concerns
- Explains smile design and implant procedures in detail
- Creates a relaxed environment for nervous patients
- Ensures you’re comfortable before proceeding with any treatment
Is This Style Right for You?
This approach works well if you:
- Feel anxious about dental visits
- Want detailed explanations of your treatment
- Prefer a gentle, unhurried approach
- Appreciate thorough, methodical care
Dental Treatments & Procedures
Dr. Mitesh creates smile makeovers using porcelain veneers, same-day crowns, and clear aligners. He also places
dental implants and performs
complex restorative work.Interests
Prosthodontics, Cosmetic and Restorative Dentistry
Procedures
Smile Makeovers, Porcelain Veneers, Advanced Restorations
Prosthodontics
Reconstruction and replacement of missing teeth and oral structures using dental implants and restorative techniques.
- Dental Implant Prosthetics
- Implant-Supported Crowns and Bridges
- Full Mouth Rehabilitation
- Bite Restoration
- TMJ Management
🔔 View Details
Implant Prosthetics
Single Implant Crowns, Implant-Supported Bridges, All-on-4 and All-on-6 Restorations, Implant Maintenance
Prosthetic devices anchored to dental implants to restore oral function and tooth structure.
Complex Rehabilitation
Full Mouth Reconstruction, Bite Restoration, TMJ Treatment, Occlusal Adjustments
Integrated treatment for restoring dental function and alignment in patients with significant oral health issues.
Bone and Soft Tissue Augmentation
Bone Grafting, Ridge Augmentation, Sinus Lifts, Soft Tissue Grafting
Surgical procedures to restore bone and soft tissue volume necessary for implant placement.
Implant Surgery
Dental Implant Placement, Guided Implant Surgery, Mini Implants, Immediate Loading Implants
Placement of dental implants into the jawbone to support prosthetic restorations.
Restorative Dentistry
Repair and replacement of damaged teeth using artificial materials to restore function and appearance.
- Dental Crowns
- Dental Bridges
- Inlays/Onlays
- Root Canal Treatment
- Dental Implant Restorations
🔔 View Details
Single Crown
Porcelain Crowns, Metal Crowns, Ceramic Crowns, Zirconia Crowns
Custom-made caps that cover damaged teeth to restore shape and function
Crown Preparation
Digital Scanning, Temporary Crowns, Core Build-up, Post and Core
Procedures required before permanent crown placement
Crown Maintenance
Crown Repair, Crown Recementation, Crown Adjustment
Ongoing care and maintenance of dental crowns
Fixed Bridges
Traditional Bridges, Cantilever Bridges, Maryland Bridges
Replacement of missing teeth using adjacent teeth as support
Bridge Components
Bridge Pontics, Bridge Retainers, Bridge Attachments
Individual parts that make up a dental bridge
Bridge Care
Bridge Cleaning, Bridge Repair, Bridge Adjustment
Maintenance procedures for dental bridges
Orthodontics
Specialised procedures for correction of tooth position and jaw relationships using removable or fixed orthodontic appliances.
- Clear Aligners
- Traditional Braces
- Retainers
- Bite Correction
- Orthodontic Assessment
🔔 View Details
Clear Aligners
Invisalign Treatment, Clear Aligner Planning, Digital Scanning, Progress Monitoring
Custom-made clear plastic aligners for gradual teeth straightening
Traditional Braces
Metal Braces, Ceramic Braces, Lingual Braces, Wire Adjustments
Fixed appliances for precise teeth movement and bite correction
Early Treatment
Growth Assessment, Space Maintainers, Habit-Breaking Appliances, Preventive Orthodontics
Early intervention to guide jaw growth and tooth eruption
Retention
Fixed Retainers, Removable Retainers, Retainer Adjustments, Long-term Monitoring
Post-treatment maintenance to prevent tooth movement
Cosmetic Dentistry
Improving the appearance of teeth and smile using treatments that address discolouration, uneven shapes, or gaps.
- Teeth Whitening
- Porcelain Veneers
- Dental Bonding
- Smile Design
- Inlays and Onlays
🔔 View Details
Whitening
In-Chair Whitening, Take-Home Kits, Internal Bleaching, Topical Remineralisation
Procedures to improve tooth color and brightness including in-chair fluoride treatment,
Veneers
Porcelain Veneers, Composite Veneers, Minimal-Prep Veneers
Thin shells to cover front tooth surfaces for aesthetic improvement
Bonding
Direct Composite Bonding, Gap Closure, Chip Repair
Addition of tooth-coloured material to repair or enhance teeth
Smile Design
Digital Smile Design, Mock-up Trials, Combination Treatments
Comprehensive planning for complete smile enhancement
Inlays and Onlays
Ceramic Inlays, Gold Inlays, Composite Onlays
Restorations for teeth with moderate decay, preserving more tooth structure.
Dental Insurance & Health Fund Benefits
At Beyond Dental Care Hamilton, we accept all private health funds and process instant claims through HICAPS to reduce your upfront costs. 💡 While we’re not a preferred provider at this location, eligible patients can still enjoy competitive rebates for covered treatments.
APIA Insurance for Retirees
Use By Date: 31 December 2025
Benefits Reset: 1 January 2026
Australian Unity Health
Use By Date: 31 December 2025
Benefits Reset: 1 January 2026
AAMI Health Insurance
Use By Date: 31 December 2025
Benefits Reset: 1 January 2026
AIA Health Insurance
Use By Date: 31 December 2025
Benefits Reset: 1 January 2026
🏥 See Health Funds We Work With
CBHS Health Cover
Use By Date: 31 December 2025
Benefits Reset: 1 January 2026
Frank Health Insurance
Use By Date: 31 December 2025
Benefits Reset: 1 January 2026
GMHBA Health Insurance
Use By Date: 31 December 2025
Benefits Reset: 1 January 2026
ING Health Insurance
Use By Date: 31 December 2025
Benefits Reset: 1 January 2026
Peoplecare Health Insurance
Last Claim Date: 30 June 2025
Benefits Reset: 1 July 2025
HCi Health Care Insurance
Use By Date: 31 December 2025
Benefits Reset: 1 January 2026
nib Private Health Insurance
Use By Date: 31 December 2025
Benefits Reset: 1 January 2026
Australian Seniors Insurance
Use By Date: 31 December 2025
Benefits Reset: 1 January 2026
Qantas Health Insurance
Use By Date: 31 December 2025
Benefits Reset: 1 January 2026
Real Insurance
Use By Date: 31 December 2025
Benefits Reset: 1 January 2026
Priceline Health Insurance
Use By Date: 31 December 2025
Benefits Reset: 1 January 2026
Suncorp Insurance
Use By Date: 31 December 2025
Benefits Reset: 1 January 2026
IMAN Australian Health Plans
Use By Date: 31 December 2025
Benefits Reset: 1 January 2026
(TUH) Teachers Union Health Fund
Use By Date: 31 December 2025
Benefits Reset: 1 January 2026
(GU Health) Corporate Health Insurance
Last Claim: 1 Day Before Anniversary
Reset Date: Policy Anniversary
We accept all health funds. Your coverage is welcome here, regardless of provider.
Areas We Serve
Dr. Mitesh provides dental care to patients in Brisbane’s inner north suburbs including Hamilton, Ascot, Hendra, Albion, and Bowen Hills. Our Hamilton clinic offers easy access from surrounding areas.
Hamilton, QLD 4007
Ascot, QLD 4007
Hendra, QLD 4011
Albion, QLD 4010
Bowen Hills, QLD 4006
Clayfield, QLD 4011
Frequently Asked Questions
FAQs about cosmetic treatments, dental implants, and restorative care with Dr. Mitesh at our Hamilton practice.
Dental Implants
What dental implant treatments does Dr. Mitesh provide?
Dr. Mitesh places dental implants to replace missing teeth and creates implant-supported crowns and bridges. Each treatment starts with a thorough assessment to plan the best approach.
How much does a single-tooth implant cost?
A single-tooth implant can cost less than $50 per week with flexible payment options. Final costs depend on the type of implant, the materials used, and any additional procedures required, such as bone grafting.
Are dental implants suitable for everyone?
Most patients with adequate jawbone density can receive implants. A consultation with Dr. Mitesh will determine if additional procedures, like bone grafting, are needed for your case.
What happens during implant consultation?
Dr. Mitesh examines your mouth and takes 3D scans to assess bone structure. He’ll explain your implant options and create a detailed treatment plan based on your specific case.
Can implants replace multiple missing teeth?
Yes, Dr. Mitesh uses implant-supported bridges and full arch restorations to replace several missing teeth or all teeth in one jaw.
Prosthodontics
What is prosthodontics?
Prosthodontics focuses on restoring missing or damaged teeth using treatments like crowns, bridges, veneers, and dental implants to restore function and aesthetics.
What's the difference between prosthodontic and restorative treatments?
Prosthodontics focuses on replacing missing teeth and oral structures using implants, dentures, and bridges. Restorative dentistry repairs damaged teeth with treatments like fillings and crowns. Some treatments, like implant crowns, combine both. The implant replaces the root (prosthodontics) while the crown restores the visible tooth (restorative).
How much does a dental bridge cost?
Dental bridge treatment costs $27 per week, depending on the materials and the number of teeth involved. Dr. Mitesh will provide a detailed cost estimate after evaluating your specific case.
When should I consider getting a dental crown or bridge?
Dental crowns are used to strengthen or restore damaged teeth. Bridges replace one or more missing teeth by anchoring to neighbouring teeth or implants
What’s the difference between veneers and crowns?
Veneers are thin shells placed on the front of teeth to improve appearance, while crowns cover the entire tooth to restore strength and function.
Can Dr. Mitesh fix damaged teeth?
Yes. Dr. Mitesh repairs damaged teeth using crowns, bridges, and other restorative treatments. He offers same-day crowns to restore teeth in a single visit.
Insurance & Payments
Does Beyond Dental Care in Hamilton accept health funds?
Yes, we accept all private health funds and process claims via HICAPS. While not a preferred provider, patients can still claim rebates based on their policies.
Does Beyond Dental Care Hamilton have a preferred provider status?
No, Beyond Dental Care Hamilton is not a preferred provider with any health funds as of 8 January 2025. However, we accept all private health funds and are in the process of applying for preferred provider agreements.
What payment options are available?
Yes, we offer payment options, including ZIP Pay, Afterpay, Super, PayPal, and TLC.
How do I claim health fund rebates for treatments?
Please bring your health fund card to your appointment. We’ll process your claim through HICAPS, so you only pay the gap between your rebate and the treatment cost.
Can I use my superannuation to pay for dental work?
Yes, you can access your superannuation for major dental work under compassionate grounds. Our team helps with the necessary paperwork for your application.
Your Smile
& Experience
We understand that the way dental treatment is perceived depends on previous experience. We recognise that many people experience dental fear due to poor dentist behaviour, treatment, or communication. We know that the only way to overcome this is to have an experience that truly delights you. We take the time to get to know and understand you and to allow you to get to know and trust us. Trust and mutual understanding are paramount to your experience.
Search Dental Treatments, Pricing & Care Info
4 Modern Dental Clinics in Brisbane & Moreton Bay
We welcome new patients for general, cosmetic, and emergency care. Each clinic is easily accessible, with free onsite parking, clear service options, and flexible booking available online or by phone.
Hamilton & Ascot
Hamilton Dentist, QLD 4007
Albion, QLD 4010
Bowen Hills, QLD 4006
Clayfield, QLD 4011
Brighton & Sandgate
Brighton Dentist, QLD 4017
Sandgate, QLD 4017
Deagon, QLD 4017
Bracken Ridge, QLD 4017
Shorncliffe, QLD 4017
Bald Hills, QLD 4036
Burpengary & Burpengary East
Burpengary Dentist, QLD 4505
North Lakes, QLD 4509
Deception Bay, QLD 4508
Morayfield, QLD 4506
Caboolture, QLD 4510
Sandstone Point & Bribie Island
Sandstone Point Dentist, QLD 4511
Bongaree, QLD 4507
Banksia Beach, QLD 4507
Beachmere, QLD 4510
See How Close You Are to Your Nearest Clinic

Enter your address to instantly calculate distance and travel time to the closest Beyond Dental Care clinic. It’s quick, simple, and helps you plan your visit with confidence. Takes just a few seconds – no login required.
Once you’ve found your nearest clinic, you can easily book online, text us, or call during open hours.
*Actual travel times may vary based on traffic, roadworks, weather, or routing conditions. Estimates are based on ‘fastest route’ settings, avoiding ferries and tolls.
Beyond Dental Care
Hamilton, Brisbane
14/39 Hercules St, Hamilton QLD 4007
(07) 3268 2116
Beyond Dental Care
Burpengary
Shop 10/9-11 Burpengary Rd, Burpengary QLD 4505
(07) 3067 2325
Beyond Dental Care
Sandstone Point
Shop 9/204-208 Bestmann Rd E, Sandstone Point QLD 4511
(07) 5429 5628
Beyond Dental Care
Brighton, Brisbane
54 North Rd, Brighton QLD 4017
(07) 3869 4555
Patient Info & Offers
New & Returning Patients
Our Services
How we can help you smile
About & Resources
Who we are. What we stand for
Legal & Policies
Transparency and patient rights

