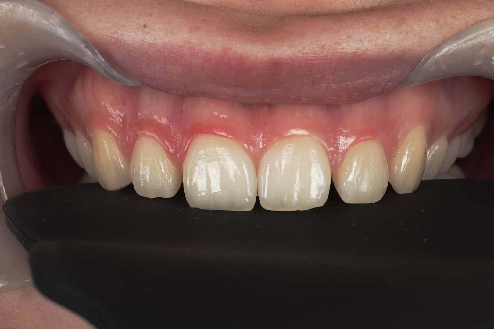
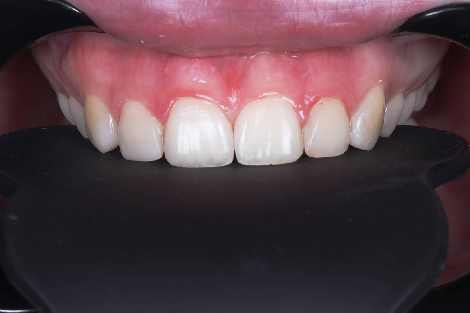
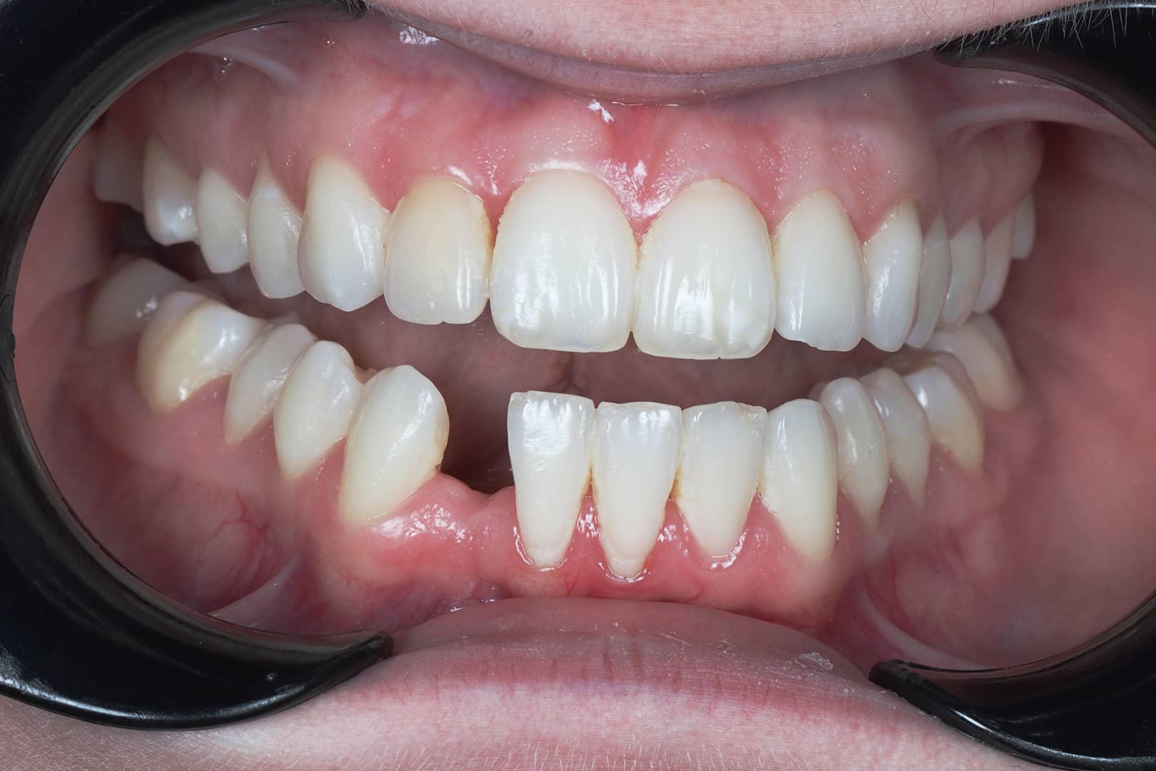
The images displayed below feature actual patients of Beyond Dental Care who have consented to their photos being shared. Please understand that every patient is unique. Clinical results, recovery times, and potential risks will vary based on individual circumstances. The outcomes shown here are specific to these cases and should not be seen as a guarantee of a similar result for others.
Before & After Dental Photos
Real Patient Results
Your Smile
& Experience
We understand that the way dental treatment is perceived depends on previous experience. We recognise that many people experience dental fear due to poor dentist behaviour, treatment, or communication. We know that the only way to overcome this is to have an experience that truly delights you. We take the time to get to know and understand you and to allow you to get to know and trust us. Trust and mutual understanding are paramount to your experience.
Search Dental Treatments, Pricing & Care Info
4 Modern Dental Clinics in Brisbane & Moreton Bay
We welcome new patients for general, cosmetic, and emergency care. Each clinic is easily accessible, with free onsite parking, clear service options, and flexible booking available online or by phone.
Hamilton & Ascot
Hamilton Dentist, QLD 4007
Albion, QLD 4010
Bowen Hills, QLD 4006
Clayfield, QLD 4011
Brighton & Sandgate
Brighton Dentist, QLD 4017
Sandgate, QLD 4017
Deagon, QLD 4017
Bracken Ridge, QLD 4017
Shorncliffe, QLD 4017
Bald Hills, QLD 4036
Burpengary & Burpengary East
Burpengary Dentist, QLD 4505
North Lakes, QLD 4509
Deception Bay, QLD 4508
Morayfield, QLD 4506
Caboolture, QLD 4510
Sandstone Point & Bribie Island
Sandstone Point Dentist, QLD 4511
Bongaree, QLD 4507
Banksia Beach, QLD 4507
Beachmere, QLD 4510
See How Close You Are to Your Nearest Clinic

Enter your address to instantly calculate distance and travel time to the closest Beyond Dental Care clinic. It’s quick, simple, and helps you plan your visit with confidence. Takes just a few seconds – no login required.
Once you’ve found your nearest clinic, you can easily book online, text us, or call during open hours.
*Actual travel times may vary based on traffic, roadworks, weather, or routing conditions. Estimates are based on ‘fastest route’ settings, avoiding ferries and tolls.
Beyond Dental Care
Hamilton, Brisbane
14/39 Hercules St, Hamilton QLD 4007
(07) 3268 2116
Beyond Dental Care
Burpengary
Shop 10/9-11 Burpengary Rd, Burpengary QLD 4505
(07) 3067 2325
Beyond Dental Care
Sandstone Point
Shop 9/204-208 Bestmann Rd E, Sandstone Point QLD 4511
(07) 5429 5628
Beyond Dental Care
Brighton, Brisbane
54 North Rd, Brighton QLD 4017
(07) 3869 4555
Patient Info & Offers
New & Returning Patients
Our Services
How we can help you smile
About & Resources
Who we are. What we stand for
Legal & Policies
Transparency and patient rights



